pembe estetik
Pembe estetik, dişeti estetiğidir. Gülümseme tasarımı yapılırken dişleri ilgilendiren beyaz estetik kadar pembe estetiğin de önemi büyüktür. Dişeti estetiği hedeflenirken göz önünde bulundurulan baslıca kriterler vardır. Dişeti kenar yükseklik oranları, dişeti formları, zenith noktaları gibi ölçüm kriterleri incelenerek estetik dişeti uygulamaları yapılmaktadır.
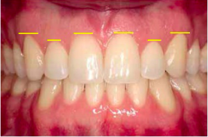
Dişeti kenarı yükseklikleri her dişte farklılık göstermektedir. Santral (tavşan) dişin dişeti yüksekliği yan kesici dişe göre 1,5 mm uzun iken kopek dişinin dişeti ile aynı hizadadır.

Amerika kozmetik dişhekimliği akademisinin estetik kriterlerine göre üst yan kesici ve alt kesici dişlerin dişeti formu simetrik ve oval iken üst santral dişler ve köpek dişlerinin dişeti formu elips formunda ve asimetiktir.
Dişlerin dişeti kenarının en üst noktasına ‘zenith noktası’ denmektedir. Santral ve kopek dişlerinin zenith noktası dişin merkezinden uzakta bulunurken, alt kesici ve üst yan kesici dişlerde tam dişin merkezinde konumlanmaktadır.

Dişeti kenarındaki oransızlıklar ve hacim anormalliklerinin düzeltilmesi lazer, koter cihazları veya bistüri ile yapılmaktadır. Bu tür işlemlere gingivektomi ve gingivoplasti tedavileri denilmektedir. Dişetlerine estetik ve tedavi amaçlı yapılan bu tür uygulamalar ile beyaz estetik desteklenir ve gülümseme tasarımına katkı sağlanmış olur.
